歯の状態によっては適切な根管治療を行っても効果がない場合があります (詳しくはコラムへ)。その場合、歯内療法外科処置(歯根端切除術、意図的再植術)を組み合わせることで抜歯を回避します。

また、歯の状態によっては根管治療を行わずに最初から外科処置を行う場合もあります。

目次

根管治療で治らなかった前歯の歯根端切除術(根尖孔外感染)

根管治療が効かない状態の歯、原因がいくつかありますがこのケースは根尖孔外感染(細菌が根管ではなく、根管の外の病巣部にコロニーを作って生息しているケース)のため根管治療で根管殺菌後も腫れが改善せず、歯根端切除術で病巣摘出を行い治癒へと導いたケースです。

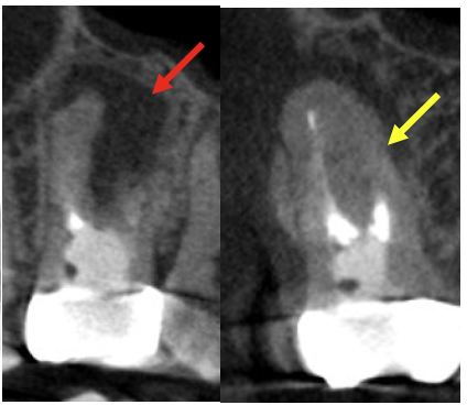
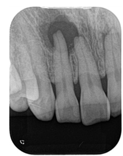
前歯の歯茎が腫れている、という相談で来院されたケース

  • 根尖孔外感染のため根管治療のみでは治らなかったケース

    術前、右上2に大きな透過像(黄色矢印、炎症の黒い影)と左上1にも透過像(赤矢印)が見られます。腫れの原因は、歯髄壊死と根尖性歯周炎と診断し、まずは根管治療を行いました。左上1の根尖も透過像(緑矢印)がありましたが、歯髄の反応は正常でしたので歯髄壊死とは診断せず治療は行いません。

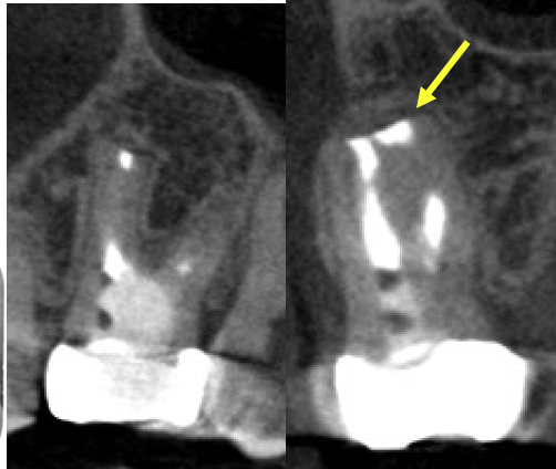
  • 根管治療後4ヶ月、左上1の透過像(赤矢印、黒い影)は小さくなり治癒傾向が確認できますが、右上2(赤矢印)は以前より広がってきていて、腫脹の再発がありました。非治癒判定となり、次の治療法として歯根端切除術を行うこととなりました。歯根端切除術を行わない医院ではこの時点で抜歯が宣告されてしまうでしょう。

  • 歯根端切除術で摘出した歯根と肉芽組織、黄色い色をした菌塊(細菌のコロニー)が多数見られました(黄色丸内のつぶつぶ)。これが非治癒の原因、根尖孔外に飛び出した感染源です。

  • 歯根端切除前と術後1年のCBCT画像、病変はなくなり骨の再生を認め治癒が確認されました。

  • 別の角度のCBCT画像、骨の壁が全くない状態から1年でかなりの骨の再生が見られます。

  • 別の角度のCBCT画像、骨の壁の再生がはっきりとわかります。

  • 術前レントゲン画像

  • 歯根端切除術後1年のレントゲン画像

再根管治療で治らなかった奥歯の歯根端切除術(複雑根管)

根管治療が効かない状態の歯、原因がいくつかありますが今回の奥歯は複雑な形、殺菌が届かない場所に細菌感染が起きているケースです。

奥歯の歯茎が腫れている

上顎の奥歯、第一大臼歯(6番)は三又の根っこをしています。そのうちの一本(近心頬側根といいます)は複雑な形をしています。 MB2と言われる4つめの根管があることが多く、またない場合でも根管の形がとても複雑です。MB1とMB2の間にイスムスと言われる殺菌が届かない繋ぎ目があることも多く、殺菌が届かない部位に細菌がこびりついていると、MB2をしっかり処理して殺菌しても治らない場合があります。そうなったらいくら根管治療をしても殺菌が届きませんので、効果がなく、外科治療でその部分を処置するか、歯ごと抜歯して取り除く以外に方法がありません。今回の歯はCBCTで未処置のMB2が見つかり、MB2の殺菌処置を行いましたが術後1ヶ月半で腫れが再発、歯根端切除術を行いました。歯根を切断して観察すると感染源となっているイスムスがあり、削り取って逆充填処置を行い治癒に導いたケースです。

  • 術前のCBCT画像、右上6の近心頬側根に透過像(炎症の黒い影)と未処置の根管MB2(赤色矢印)が見られ腫れている原因となっていることがわかる。

  • 治療時画像、赤矢印部がMB2未処置、この部分を拡大殺菌していく。

  • 治療時画像、MB2を拡大殺菌し、根管充填を行ったところ(緑矢印)。未処置部分の殺菌で治る歯が大多数です。

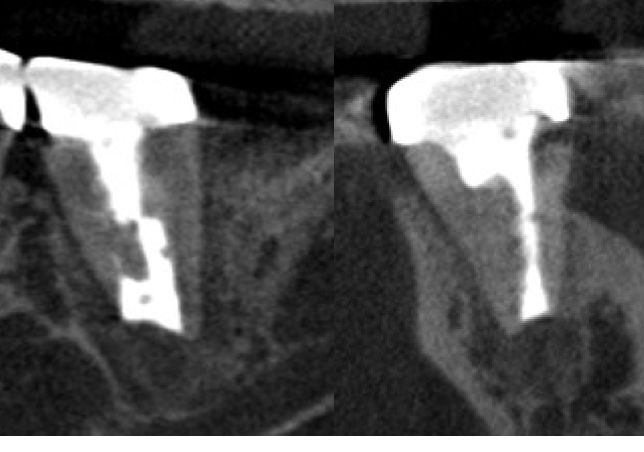
  • 根管治療後一旦腫れが引いたものの、1ヶ月半で再発し歯根端切除術を行うこととなりました。術後のCBCTでは未処置だったMB2に根管充填がなされて殺菌できていることがわかります(緑矢印)。

  • 再根管治療時に殺菌、根管充填したMB2を確認(緑矢印)。

  • 青色の細菌の染め出し液で感染源のイスムスが発覚(青矢印)。根管治療で殺菌が届かない場所です。

  • イスムスを削除しながら逆根管形成を行い、お薬(バイオセラミックパテ)を充填したところ(黄色矢印)。

  • 歯根端切除前と術後半年のCBCT画像、感染源を除去してしっかり封鎖したことで、骨の再生を認め治癒が確認されました(黄色矢印)。

再根管治療を行わずに歯根端切除術のみで対応した奥歯(石灰化根管)

再根管治療を繰り返すたびに歯が削られ、歯の寿命が短くなります(特に奥歯)。歯の状態によっては再根管治療を行わずにより確実な歯根端切除術のみでアプローチする場合があります。どういった場合かというと、

1. 再根管治療を繰り返している場合
2. 費用対効果の観点から(歯がすでに薄くなっていて寿命が短いと予測される、自費のクラウンを壊したくない、など)
3. 難症例で再根管治療で効果がなさそうな場合(極度の石灰化根管など)
です。

今回のケースは再治療となると3回目となること、過去2回の治療で拡大できていない極度の石灰化根管で難症例であること、被せて3年しか経っていないクラウンを壊したくないこと、確実に治したいけど抜歯はまだしたくない、とのことで歯根端切除術のみで対応したケースです。

過去に根管治療を行った奥歯の歯茎がまた腫れてきた

こちらの患者さんは右上の第一大臼歯を過去に2回根管治療しています。2回目は3年前でラバーダムを使用した自費の精密根管治療だったとのことです。術後経過はよく、自費のセラミッククラウンも装着しましたが3年経過でまた腫れが再発し、歯内療法専門医である当院を受診されました。

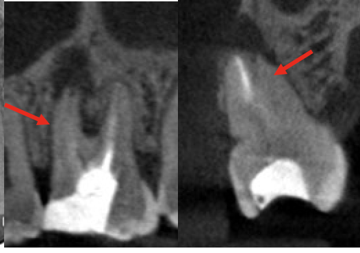
  • 術前のCBCT画像、右上6の近心頬側根に大きな透過像(炎症の黒い影、赤矢印)があり、腫れの原因となっていることがわかる。未処置の根管、MB2(黄色矢印)は極度に石灰化していて根管のアウトラインも見られない。過去のラバーダム使用の自費の治療でもこういった部分が殺菌できないと病気を治すことは難しい。当院の再治療で石灰化根管の処置が可能かどうかは行ってみないとわからない、また上のケースのように殺菌ができても治らない場合もありえるため、より確実な方法として歯根端切除術を行うこととなりました。

  • 治療時画像、黄色矢印はMB1の根管、緑矢印部がMB2があるであろう場所ですが、根管らしきものは石灰化のため見えません。

  • もう少し歯根を切断すると、イスムス(黄色矢印)が出てきました。感染源です。

  • MB1ごとイスムスを超音波の器具で取り除いているところ。

  • 未処置の感染部分の除去後、お薬(バイオセラミックパテ)を充填したところ。

  • 術後1年の経過観察時のCBCT画像。治療前の炎症増は無くなり骨の再生が見られ経過良好です。石灰化MB2の部分に充填がなされていることがわかります(黄色矢印)。このように、感染除去を行って、しっかり封鎖をすることで根管治療を繰り返しても治らない難症例も治癒に導くことが可能です。

意図的再植術:一度感染すると治りにくいCshape (桶状根)の下顎第二大臼歯(複雑根管)

意図的再植術は歯根端切除術でアプローチできない歯(一番奥の歯:第二大臼歯など)に行う外科治療です。一度抜歯をして、口腔外で処置を行います。歯根を360度確認できるので見落としがなく、感染除去を確実に行えることがこの方法のメリットと言えます。クラウンを外さず処置が可能なので、費用対効果も優れています。リスクとしては、薄い根っこは抜歯の時に割れてしまう、また適切に処置を行なっても歯根や病気の状態によっては生着できず結局抜歯となってしまうことがあります。

特に、Cshape (桶状根)の根管で多く行われます。この形はアジア人種に多い下顎第二大臼歯の根管の形で、根管と根管の繋ぎ目がありその部分が一度感染してしまうと根管治療の細い器具が入らないため殺菌が届かず難治化するケースが多いです。当院で治療した歯の治癒率(成功率)は90%以上ですが、感染根管になっているCshapeの歯に限定すると50~60%程度です。患者様にはCshapeの感染根管は約50%の成功率で、根管治療と意図的再植術の併用が必要になる可能性が高いことを初診のカウンセリング時にお話ししています。こういった複雑な根管の歯は初回根管治療を失敗させないことが何よりも大切です。

以前根管治療を行った奥歯の歯茎がまた腫れてきた

今回のケースは過去に2回、根管治療を行なっており、歯や歯根が薄くなっています。またCshapeの感染根管のため、再根管治療では通常より治りにくいケースです。その場合、意図的再植術の併用、さらに被せ物(クラウン)のやり直しの費用もかかり最大で3つの処置のコストがかかります。将来の歯の寿命を考えますと費用対効果が悪いと思われましたので、より確実に感染除去ができる意図的再植術を最初から行う方針としました。

  • 意図的再植術 術前CBCT

    左下第二大臼歯、術前のCBCT画像で根の周りに透過像(炎症の黒い影、黄色矢印)があり、腫れの原因となっていることがわかる。根管充填は根尖まで届いていいる。Csahepのため根管治療で殺菌が届かないところが原因となると、同じことをくりかえしても効果がない可能性も高い。ファイバーポストも深い位置まで挿入されているため除去に伴うリスクもある。カウンセリングの結果、より確実な方法で費用対効果の高い意図的再植術を行うこととなった。

  • 意図的再植術、術式4

    抜歯時に360度歯根を顕微鏡でチェックを行う。青い染め出し液を使い破折がないかを確認。今回は幸い破折はありませんでした。

  • 意図的再植術、術式2

    根尖を切除しているところ。

  • 意図的再植術、術式3

    根管を専用超音波チップでお掃除して根管治療では届かない部分の感染を取り除く。

  • 意図的再植術、cshape

    根管の根管の間の繋ぎ目(赤矢印)。

  • 感染部分の除去後、お薬(バイオセラミックパテ)を充填したところ。抜歯から全ての処置を行い、歯を戻すまで15分以内に行わないと生着率が下がります。

  • 意図的再植術、術後一年、治癒確認

    術後1年の経過観察時のCBCT画像。治療前の炎症増は無くなり骨の再生が見られ経過良好です。腫れの再発もありません。このように、感染除去を行って、しっかり封鎖をすることで根管治療を繰り返しても治らないCshapeのような難症例も治癒に導くことが可能です。

奥歯の破折ファイル①

根管治療中に細い器具が折れてしまい、根の中に残ってしまうことは根管治療を行う上で避けて通れないリスクの一つです。
治療器具が折れて残っていると聞いて、患者様は不安に思われている方が多いです。
破折ファイルは特に曲がったところで折れている場合は、取り除くためには歯の上部を多く削らないと行けません。
歯を削ると歯が薄くなるので、それはそれで歯を弱めます。
当院では歯をたくさん削らないと、取れないような折れ方をしている場合は無理には取りません。

奥歯の破折ファイルを除去したケース

  • 前医の治療で根の中にファイルが破折して残っていますが、根の病気はないため、通常は無理して取ることをお勧めしません。今回は患者様の強いご希望で歯が薄くなっても良いから取ってほしいとのことで、除去することになりました。

    前医の治療で根の中にファイルが破折して残っていますが、根の病気はないため、通常は無理して取ることをお勧めしません。今回は患者様の強いご希望で歯が薄くなっても良いから取ってほしいとのことで、除去することになりました。

  • ファイルがなくなり、先端まで器具が到達したのを確認しているところ。

    ファイルがなくなり、先端まで器具が到達したのを確認しているところ。

  • 根管治療終了、赤い矢印部が削って歯が薄くなっているところ。

    根管治療終了、赤い矢印部が削って歯が薄くなっているところ。

奥歯の破折ファイル②

破折ファイルは取り除かなくても、細菌が少なくなれば病気は治りますし、逆にファイルが折れていなくても細菌がしぶとい場合は病気は治りません。
どんなケースも折れたファイルのせいで治らないという訳ではありません。
以下のケースはファルを取り除かななくても病気が治る場合もある、ということを証明している症例です。

破折ファイルを除去しなかったケース

破折ファイルは取り除かなくても、細菌が少なくなれば病気は治りますし、逆にファイルが折れていなくても細菌がしぶとい場合は病気は治りません。
どんなケースも折れたファイルのせいで治らないという訳ではありません。
以下のケースはファルを取り除かななくても病気が治る場合もある、ということを証明している症例です。

  • 初診時、破折したファイルと、根を取り巻く黒い影がはっきりとわかります。

    初診時、破折したファイルと、根を取り巻く黒い影がはっきりとわかります。

  • 根管治療終了。根管のカーブしたところに食い込むように折れていますので、歯が薄くなるリスクをご説明し、外さない方向で治療を行いました。

    根管治療終了。根管のカーブしたところに食い込むように折れていますので、歯が薄くなるリスクをご説明し、外さない方向で治療を行いました。

  • 治療後8ヶ月経過 根の周りの黒い影は綺麗に消えて、治癒判定となりました。

    治療後8ヶ月経過 根の周りの黒い影は綺麗に消えて、治癒判定となりました。

難治性のケース

①15年近く治療を繰り返すが治らないケース

15年に渡り何度も治療を繰り返すも、腫れが再発し、今回こそはしっかり治したいとのことで、ご来院されました。

  • 根を取り巻く炎症の黒い影(↑)と度重なる治療で根の穴の形は大きく広がり、ファイル破折もあります。

    根を取り巻く炎症の黒い影()と度重なる治療で根の穴の形は大きく広がり、ファイル破折もあります。

  • 当院で根管治療後3ヶ月経過、影は小さくなっていますが症状は軽るくなりましたが、歯肉を押すと違和感があり、完全に治っていませんでしたので、手術を選択されました。

    当院で根管治療後3ヶ月経過、影は小さくり、症状も軽るくなりましたが、歯肉を押すと違和感があり、完全に治っていませんでしたので、手術を選択されました。

  • 歯根端切除術後

    歯根端切除術後

  • 歯根端切除後9ヶ月経過。手術で切った部位には健康な骨が回復して黒い影がなくなっています。症状も違和感も現在はありません。

    歯根端切除後9ヶ月経過。手術で切った部位には健康な骨が回復して黒い影がなくなっています。症状も違和感も現在はありません。

②抜歯しか方法がないと言われたケース

何度か治療を行うも治療の効果がなく、腫れが治りません。これ以上は抜歯しか方法がないと言われ、抜歯を決断する前に何か方法はないかということでご来院されました。

  • 青→部は根の表面に沿って骨がなくなっています。歯周ポケットも深く根のヒビを大きく疑います。 赤→部は根の先端が割れているのか、白い塊状の不透過像がみられます。 ヒビを疑いましたので、予後が悪いことをご説明し、抜歯をお勧めしましたが延命的な治療でも良いので今は抜きたくない、ということから治療をスタートしました。

    青→部は根の表面に沿って骨がなくなっています。歯周ポケットも深く根のヒビを大きく疑います。
    赤→部は根の先端が割れているのか、白い塊状の不透過像がみられます。
    ヒビを疑いましたので、予後が悪いことをご説明し、抜歯をお勧めしましたが延命的な治療でも良いので今は抜きたくない、ということから治療をスタートしました。

  • 根管治療終了直後、根の内部にヒビはみられませんでした。

  • 根管治療後3ヶ月経過。黒い影はだいぶ薄くなり治癒傾向がみられますが、症状がまだあり、歯根端切除術へ。

    根管治療後3ヶ月経過。黒い影はだいぶ薄くなり治癒傾向がみられますが、症状がまだあり、歯根端切除術へ。

  • 歯根端切除術後。根先端は砕けていて、折れた破片を取り除きました。 切断した断面を観察すると、やはりヒビがあります。取れる範囲で取り除きMTAセメントで修復。

    歯根端切除術後。根先端は砕けていて、折れた破片を取り除きました。
    切断した断面を観察すると、やはりヒビがあります。取れる範囲で取り除きMTAセメントで修復。

  • 歯根端切除後6ヶ月経過。 黒い影はなくなり、症状も改善。快適に使えているそうです。ヒビは残っているため長持ちできないことからクラウン治療は保険のものをお勧めしました。

    歯根端切除後6ヶ月経過。
    黒い影はなくなり、症状も改善。快適に使えているそうです。ヒビは残っているため長持ちできないことからクラウン治療は保険のものをお勧めしました。

この記事が役に立ったら、SNSでシェアしてください!

歯内療法専門歯科医院
リーズデンタルクリニック

東京都中央区日本橋3-8-10 島崎ビル2階
call 03-6262-1045
治療中は折り返しになる可能性がございますがご了承ください
予約のお申し込みはオンライン予約からお願いします

診療時間: 平日・土曜10:00~17:00

木曜、日曜、祝日休
学会出席や研修のため、その他不定休あり

expand_less トップ
calendar_month オンライン予約